| 診療時間 | 月 | 火 | 水 | 木 | 金 | 土 | 日 |
|---|---|---|---|---|---|---|---|
| 10:00~19:00 | ○ | ー | ー | ○ | ○ | ○ | ○ |
休診日:火曜・水曜
「ワイヤー矯正でなければ難しい」と
診断された方もまずは一度ご相談ください
歯並びでお悩みの方へ。13,000症例以上の実績をもとに培った高度なマウスピース矯正技術を持つ当院にぜひお問い合わせ下さい。
思いきり笑えない
その理由は…?
出っ歯・口ゴボ
ガタガタ・八重歯
すきっ歯
咬み合わせが深い
開咬・オープンバイト
反対咬合・受け口
矯正で歯並びを
整えたいと思っていても……
「矯正治療がしたい」という気持ちはあっても、次のような不安から一歩を踏み出せない方も多いのではないでしょうか。
- ワイヤー矯正でしか治らないと言われた
- 自分の歯並びでは治療ができないと言われた
- 治療中の痛みが気になる
- 費用が高くて踏み出せない
- 抜歯や手術はしたくない
- 忙しくて通院ができない
「 仙台さいとう矯正歯科」では、目立たないマウスピース矯正を専門的に行なっております。これまでの豊富な治療実績に基づいた、高度なマウスピース矯正治療が受けられます。
「マウスピース矯正では治せない」と言われた経験のある方も、ぜひ一度当院にご相談ください。
「インビザライン」は、世界各国で1,500万人以上の治療実績がある、アメリカ生まれのマウスピース矯正治療です。一人ひとりの歯並びに合わせて作製された、薄く透明なオーダーメイドのマウスピースを、毎週付け替えて生活することで、歯列を少しずつ動かし歯並びを改善していきます。
インビザライン矯正のメリット
透明なので目立ちにくい
取り外しできるので衛生的
金属アレルギーの不安がない
ワイヤー矯正しかできない
と言われた方へ
私どもの歯科医院には、
マウスピース矯正で13,0
0
0
名の患者さまを
治療した実績があります。
マウスピースで
改善しなかった患者さまは、
これまで1人もおられません。
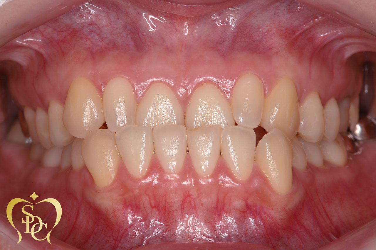
case01八重歯(叢生)
Before
After
▶
|
治療期間
|
1年6か月
|
|---|
|
プラン
|
インビザラインフル
|
|---|
治療内容:
一般的にはインビザラインでは難しいと言われる重度の八重歯の治療を行いました。
健康上、大事な犬歯は残して「4番目の歯の抜歯」を行なっています。
矯正治療では4番目の歯を抜くことは時々ありますが、インビザラインでは抜歯矯正は難易度が高く、綺麗に治すことが難しいと言われています。
今回の場合、必ずしも歯を抜かないと、矯正治療ができないと言うわけではありません。
しかし、『笑顔、お顔の美しさ』『将来的な歯の健康』のことを考えて、4番目の歯を抜歯することを患者様は希望されました。
施術のリスク:全ての方で、疼痛、咬合痛、歯根吸収、歯根露出が生じる可能性があります。
費用:71.5万円(契約当時の金額)
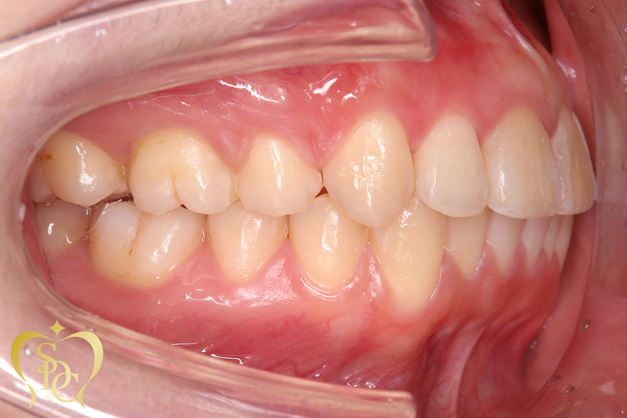
case02出っ歯(上顎前突)
Before
After
▶
|
治療期間
|
1年6か月
|
|---|
|
プラン
|
インビザラインフル
|
|---|
治療内容:
一般的にはインビザラインでは難しいと言われる重度の八重歯の治療を行いました。
健康上、大事な犬歯は残して「4番目の歯の抜歯」を行なっています。
矯正治療では4番目の歯を抜くことは時々ありますが、インビザラインでは抜歯矯正は難易度が高く、綺麗に治すことが難しいと言われています。
今回の場合、必ずしも歯を抜かないと、矯正治療ができないと言うわけではありません。
しかし、『笑顔、お顔の美しさ』『将来的な歯の健康』のことを考えて、4番目の歯を抜歯することを患者様は希望されました。
施術のリスク:全ての方で、疼痛、咬合痛、歯根吸収、歯根露出が生じる可能性があります。
費用:71.5万円(契約当時の金額)
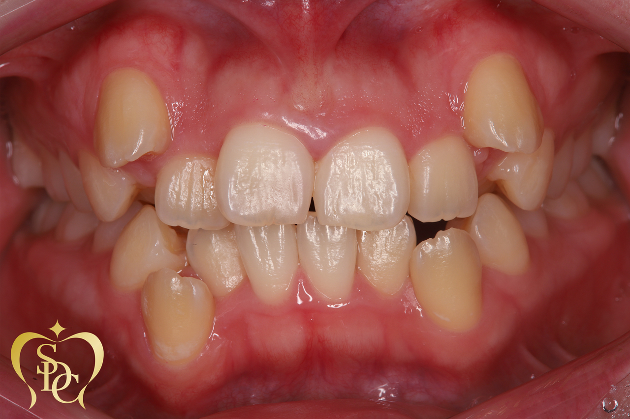
case03受け口(反対咬合)
Before
After
▶
|
治療期間
|
10か月
|
|---|
|
プラン
|
インビザラインフル
|
|---|
治療内容:
一般的にはインビザラインでは難しいと言われる重度の八重歯の治療を行いました。
健康上、大事な犬歯は残して「4番目の歯の抜歯」を行なっています。
矯正治療では4番目の歯を抜くことは時々ありますが、インビザラインでは抜歯矯正は難易度が高く、綺麗に治すことが難しいと言われています。
今回の場合、必ずしも歯を抜かないと、矯正治療ができないと言うわけではありません。
しかし、『笑顔、お顔の美しさ』『将来的な歯の健康』のことを考えて、4番目の歯を抜歯することを患者様は希望されました。
施術のリスク:全ての方で、疼痛、咬合痛、歯根吸収、歯根露出が生じる可能性があります。
費用:71.5万円(契約当時の金額)
日本トップクラス
13,000名の豊富な治療実績
当院では日本トップクラスである、13,0 0 0 名におよぶ矯正治療実績を有しています。マウスピース矯正は透明な装置を使用するため、治療中であることが目立ちにくい方法です。著名人や医療関係者にも選ばれています。
また、マウスピースは自分で簡単に取り外せるため歯磨きがしやすく、虫歯のリスクを減らせる点も大きな魅力だと言えるでしょう。
私どもの矯正治療は、Dr.斎藤秀也が患者さま一人ひとりに合わせ、オーダーメイドで設計します。そのため従来のワイヤー矯正に比べ、痛みを大幅に抑えた治療が実現。ワイヤー矯正の10分の1程度といわれる負担の少なさが特徴です。
10万人に約5名
パープルダイヤモンドプロバイダー
による矯正治療
矯正歯科医師のDr.斎藤秀也は、国内外で数多くの講演活動を行っています。札幌本院では2019~2024年に北海道でのインビザライン最多症例数を記録。さらに北海道で初めて「パープルダイヤモンドプロバイダー」の認定を受けました。
これは歯科医師10万人のうち、わずか約5名のみに与えられる称号(※)であり、インビザライン社によって認定されたものです。
※インビザライン社調べ
当院に通われる患者さまの半数以上は、「ワイヤー矯正でなければ治らない」と診断された経験のある方です。私どもはそうした患者さまを含め、全ての治療をマウスピース矯正で対応。
マウスピース矯正は高度な技術を要するため、対応できる歯科医師は多くありませんが、十分な経験と知識があれば、ワイヤー矯正を超える結果を導くことも可能です。
さらにDr.斎藤秀也は、インビザライン社やPBM healing社の公式スピーカー(講師)として、世界中の歯科医師に治療技術を指導。マウスピース矯正分野のパイオニアとして高く評価される存在です。
矯正治療においては、ワイヤー矯正かマウスピース矯正かにかかわらず、「見た目が整っても咬み合わせが合わなくなる」という懸念がつきまといます。しかし当院は経験と技術に基づき、見た目と咬み合わせの両立を目指しているのです。
私どもの歯科医院は、どのような症例であってもインビザラインによる治療をご提供可能です。ぜひ一度ご相談ください。
※インビザラインは、担当する歯科医師の経験や技術により治療期間や仕上がりが大きく変わり、場合によっては治療がうまくいかないこともあります。当院では、全ての治療計画をDr.斎藤秀也がオーダーメイドで作成しています。
2019年インビザライン矯正の学会での公演
半年に一度の通院で済む
Dr.斎藤秀也の
オーダーメイド治療
従来のワイヤー矯正では、ワイヤーを交換するために1か月に1~2回の通院が必要でした。マウスピース矯正でも、多くの医院では1か月に1回の通院が一般的です。
当院は日本トップクラスの治療実績をもとに、Dr.斎藤秀也が患者さま一人ひとりに合わせてオーダーメイドで治療計画を作成しています。その結果、半年~1年に1回という通院負担の少ない治療体制を実現しています。
一般的には治療計画(シミュレーション)を経験の浅い歯科医師が作成したり、外部に委託したりするケースもあります。そのような場合、歯並びが思うように整わない…予定より2年以上長引いた…など、さまざまな問題が生じることも。
実際、他院で矯正治療がうまくいかなかった方が相談に来られるケースも少なくありません。
マウスピース矯正においては、治療計画の作成が「成功の99%を決める最も重要な工程」であると言われています。
当院ではDr.斎藤秀也が全ての患者さまに対し、歯を1本ずつ0.1mm単位で調整しながらオーダーメイドの計画を立案しています。
治療期間が半分に短縮!
加速矯正「デンタルヘルスガード」
「 仙台さいとう矯正歯科」では、一般的な2週間ごとのマウスピース交換ではなく、1週間ごとの交換を行っています。そのため従来2年ほど必要とされる症例でも、当院では約1年を目安に完了させることが可能です。
また、加速矯正装置「デンタルヘルスガード(旧:PBM オルソヒーリング)」の併用で、さらに治療期間を短縮。半年で終わる矯正治療を実現しました。
デンタルヘルスガード(旧:PBM オルソヒーリング) は、矯正期間の短縮を目的に開発された装置です。1日10分間、お口の中に近赤外線を照射して細胞を活性化し、歯の移動を促進。これにより、以下のようなメリットが生まれます。
- 通常7~10日ごとに交換するマウスピースを、最短3日で交換できる
- 治療期間そのものを大幅に短縮できる
- 矯正中の痛みをやわらげる
短い間隔でマウスピースを交換できるため、常に清潔で快適な装置を使用できる点も、大きなポイントだと言えるでしょう。
未承認医薬品等であることの明示:
さいとう矯正歯科で取り扱う光加速矯正装置(デンタルヘルスガード)は、医薬品医療機器等法において承認を得ているものではありません。
ただし、本装置は医療機器としてクラス1に登録されています。
入手経路等の明示:
さいとう矯正歯科で取り扱う光加速矯正装置(デンタルヘルスガード)は、メーカーダイレクト、日本PBM Healing社より入手しています。
国内の承認医薬品等の有無の明示:
加速矯正装置として医薬品医療機器等法(薬機法)の承認を受けているものは、国内には存在しません。
諸外国における安全性等に係る情報の明示:
PBM(フォトバイオモジュレーション)の手法に関しては古くから多くの論文があり、PBMヒーリングオルソと同様の効果を持つ「オルソパルス」は2015年にFDA(米国食品医薬品局)の認証を受けています。
ここでは光加速矯正装置(PBMヒーリングオルソ)の諸外国における安全性等にかかわる情報は明示できません。
今後、重大なリスクや副作用が報告される可能性があります。
従来のような型取りによる
30分の苦しみは不要!3分で完了
私どものマウスピース矯正では、従来のような粘土状の材料を使った型どりは必要ありません。お口の中を動画撮影するだけで済みます。
当法人ではお口の中を写す口腔内スキャナー「iTero Element」を、2018年から先駆けて導入し、現在は最新機種「iTero Element 5D Plus」を含め8台を稼働させています。これにより、従来は粘土のような材料をお口に入れ30分耐えなければならなかった型どりも、わずか3分の撮影で完了。
また、治療開始前には「3Dシミュレーション」を行って、モニター上で次の要素を患者さまご自身で確認いただけます。
- 治療の進行状態
- 歯の動き
- 治療に必要な期間
- 最終的な歯並び
このスキャナーは、シリコンを使った従来の型どりに比べ、精度が高く短時間で処理できるのが特徴です。導入している歯科医院はまだ少数ですが、正確な歯並びの仕上げには欠かせません。
この装置がなくてもインビザライン治療は可能ですが、精度が劣るため治療が長引いたり、不快な型どりを繰り返したりと、患者さまにとって負担となるケースもあり得ます。
月々1万円で受けられる
日本トップの治療
インビザライン治療の平均価格は85万~120万円程度とされています。もし矯正治療後に後戻りが起きてしまうと、これに加えて再治療費がかかることが多いのが現状です。
私どもは後戻りを防ぐ技術をもとに矯正治療を行っており、何度も治療費が発生する心配はありません。さらに、通常は数万円かかるリテーナーも、初回無料でご提供しています。
「矯正治療は高額だから…」と治療をためらっている方にも対応できるよう、できる限り経済的な負担を抑える価格設定を実現。また、デンタルローンを利用すれば、月々10,500円から治療を始めることも可能です。
ご挨拶
こんにちは。「仙台さいとう矯正歯科」院長の斎藤 秀也(さいとう しゅうや)です。当院はマウスピース型装置、「インビザライン」を用いた矯正治療を行っています。
マウスピース矯正と一口に言っても、実際には多くの種類があります。中には「前歯だけの部分矯正」にとどまるものもありますが、前歯のみを整える治療では後戻りのリスクが高く、長期的に安定した歯並びにはつながりにくいのです。
前歯の歯並びが乱れる原因は、実は奥歯にあります。だからこそ、歯並びを美しくしたいなら、本当は奥歯からきちんと治療する必要があるのです。
インビザラインで治療するメリット
インビザラインは奥歯から前歯まで幅広い歯の移動に対応できる点が大きな特徴です。 ただし、担当する歯科医師の経験や技術によって、治療の仕上がりは大きく異なります。
経験の浅い歯科医師が治療すると、見た目が改善しないだけでなく、場合によっては物が噛めなくなるなど、矯正治療自体が失敗してしまうケースも。 一方で、経験豊富な歯科医師であれば、短期間で美しい歯並びに仕上げられる可能性が高まります。
実は、私どもで矯正治療を受けられている患者さまの約3割は、過去に矯正治療を経験された方です。その中には三度目の正直どころか、「4回目の矯正治療」という方もいらっしゃいます。
一般的なワイヤー矯正では、健康な歯を抜歯する必要があるケースが半分ほどを占めています。しかし当院ではそんなケースでも、約8割の方が抜歯せずに歯並びの改善に成功。インビザラインは親知らずを抜いたスペースを利用して、歯を後方に移動できるのが特徴で、これはワイヤー矯正では真似のできない大きなメリットなのです。
さらに私どもは歯科用CTを用い、あごの関節から歯1本ごとの骨の厚みまで測定。そのデータをもとに、理想的な咬み合わせや歯並びの位置を0.1mm単位で調整した上で仕上げていきます。ここまで徹底した治療を行う歯科医院は、全国的にも極めて限られています。
経験豊富な歯科医師による精密な治療
当院には日頃から、さまざまなお悩みを抱えた方が相談にいらっしゃいます。
「歯を抜かなければならない」
「マウスピース矯正では改善しない」
「ワイヤー矯正でも難しい」
このような患者さまも、全て私が自ら担当し、治療を行っています。もちろん容易なことではありませんが、「できない」と言われた治療に取り組むのも、私どもの大切な使命です。
私はインビザラインのプロバイダーを10年連続受賞、レッドダイヤモンドを5年連続受賞しており、全ての患者さまの治療計画を自ら作成しています。
歯並びを整えるメリットは、見た目の美しさだけでなく、健康面にも大きな影響を与えることです。咬み合わせが整うことで虫歯や歯周病のリスクが減り、将来的に歯を失う可能性も低くなります。
歯並びについて少しでも気になることがあれば、どうぞお気軽にご相談ください。
よくあるご質問
マウスピース矯正は難しいと言われましたが、治療は可能ですか?
はい、可能です。インビザライン矯正は担当する歯科医師の経験により、対応できる内容が大きく変わります。私どもの歯科医院では、「インビザライン・パープルダイヤモンドプロバイダー(2019~2024年連続レッドダイヤモンド認定、2026年にインビザライン社の最高位が更新され現在はパープルダイヤモンドに認定)」のDr.斎藤秀也が治療を担当。豊富な実績に基づき、幅広い症例にマウスピース矯正で対応しています。
出っ歯やガタガタの歯並びでも治療できますか?
重度の出っ歯や叢生(ガタガタした歯並び)でも治療が可能です。当院はこれまで数多くの症例に対応しており、通常はワイヤー矯正が必要とされるケースでも、マウスピース矯正で改善が可能です。
歯を抜かずに矯正治療はできますか?
私どもはできる限り歯を抜かない矯正方法を採用しています。ワイヤー矯正で抜歯が避けられないとされたケースでも、8割以上の患者さまが非抜歯での治療を実践。どうしても難しい場合には、抜歯を行う場合と行わない場合の両方で治療計画を作成し、患者さまにご納得いただいた上で治療を進めています。
診療時間
| 月 | 火 | 水 | 木 | 金 | 土 | 日 | |
|---|---|---|---|---|---|---|---|
| 診療時間 | ○ | ー | ー | ○ | ○ | △ | × |
午前・午後:10:00~19:00
休診日:火曜・水曜


